显微镜金相显微镜 上海光学仪器厂- 研发专家

SiteMap:XML Html urllist 招聘 客服 地图 咨询热线:021-55228110
显微镜|金相显微镜|测量投影仪等光学仪器专业提供商-上海光学仪器厂
网站首页
企业介绍
新闻中心
企业产品
客户留言
相关下载
联系我们
付款方式

除了银染外怎样在显微镜下可见梅毒螺旋菌?(图)




来源:责任编辑:yiyi
时间:2011-10-26 14:46:51

除了银染外尚可用何法在显微镜下呈现梅毒螺旋菌?

除了银染外尚可用何法在显微镜下呈现梅毒螺旋菌?
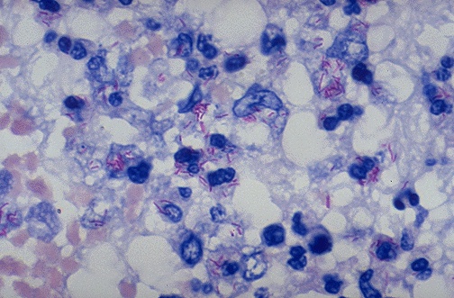
检视痰液中的肺结核菌需用哪种染色法?

1. 可以用萤光抗体染, 在萤光显微镜下可以看到菌体

2. acid-fast stain (下图即是, 红的即是TB菌)

 

显微镜下放一个英文字母"F"请问会看到什麽?

(本文由上海光学仪器厂编辑整理提供, 未经允许禁止复制http://www.sgaaa.com)

  
合作站点:http://www.xianweijing.org/    
万能工具显微镜 丨 表面粗糙度仪 丨体视显微镜 丨金相显微镜 丨
上海光学仪器厂_http://www.sgaaa.com @2021  上海永亨光学仪器 SiteMap
工信部备案号:京ICP备11022359号-4-丨- 北京市东城分局备案编号:11010102000203


推荐使用800*600以上分辨率浏览光学仪器产品以及参数
上海永亨光学仪器制造有限公司
上海光学仪器一厂_上海光学仪器厂
版权所有 未经允许禁止任何人复制,转载本站显微镜以及光学显微镜产品以及参数信息